Рожать, чтобы похоронить. Сраная страна.
- 18.12.13, 21:34
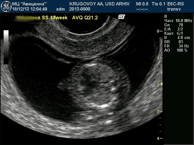
Случай пренатальной диагностики атриовентрикулярной коммуникации в 13 недель беременности.
Очень раритетный случай. Сегодня случайно (?) удалось диагностировать грубейший порок сердца уже в 13 недель беременности. Формально - это АВК (Q21.2), но на самом деле - сердце представлено одной большой камерой с какими-то намеками на перегородки. Типа такие отростки не пойми для чего.
Что девчонке делать - ХЗ. До этого уже две замерших было. Что-то хромосомное. Найдёт-ли гинеколога, который сделает ей аборт в 13 недель - неизвестно. Или будет вынашивать, рожать и через два дня хоронить?
А через одного пациента - мальчишка девяти лет, спортсмен, вратарь. Перед областными соревнованиями потребовали УЗИ сердца. Лучше бы не приходили вообще. Или не к нам. С пацаном все нормально, но только вторичный ДМПП оказался - овальное окно 3.5 мм. Диагноз, как ни крути, выставить пришлось - порок сердца. Плакала карьера вратаря и пацан рыдал тоже. Самое обидное, что с такой ерундой можно стать хоть олимпийским чемпионом - не влияет оно ни на что. Но ведь хер разрешат. Все же только жопу прикрывают - не ровен час что случится, хлопот не оберешься...
Сраная страна.



Чтобы было понятно, то размер сердца на фото примерно 7 мм.
Это вам не блоху под микроскопом подковать.
![]()
Коментарі
Гість: djeromo
118.12.13, 21:46
Так взял бы и вылечил , вместо того , чтоб тут фотографии всякие тыкать .
Бармалей Глюк
218.12.13, 21:47
Спасибо за пояснения. Нам теперь сразу всё понятно стало.
Гість: БезумныйМир
318.12.13, 21:47Відповідь на 1 від Гість: djeromo
не трынди о том чего не понимаешь.
Гість: djeromo
418.12.13, 21:49Відповідь на 3 від Гість: БезумныйМир
Ну так если ты так много понимаешь , возьми и вылечи .
ЛУКАВИЙ
518.12.13, 21:51
ні чого в фотографіях не поняв! однакові всі
Лиса_ ТА
618.12.13, 21:52
Сраные докторишки в стране
Гість: djeromo
718.12.13, 21:55Відповідь на 6 від Лиса_ ТА
Вот-вот , а как-же " Врачебная тайна " ?
Ex-pert
818.12.13, 21:56
А этой девочке у Амосова рожать не вариант?
Гість: БезумныйМир
918.12.13, 22:02Відповідь на 8 від Ex-pert
не имеет значения где рожать, вся соль в том что ребенок жить не будет.
garik134
1018.12.13, 22:14
у меня еще в 16 лет шум в сердце типа нашли ..ая еще могу и теперь типа жить бо моя жизнь то все борьба с люмпенами